Incredible. A revolutionary remedy that will stop receding gums within the first week of use
Presented by Alicia Smith, dentist


SUMMARY: Experts estimate that one in two people in the world suffer from receding gums... This ingenious invention could be their natural way to treat and strengthen their gums almost instantly, stopping recession, preventing tooth loss and other serious dental problems... Order Teeth Repair Gel with a 50% discount and free shipping while it's still in stock...
If you've ever noticed your teeth looking longer than before or had unexpected sensitivity to hot and cold, you know how hard it is to do... well, almost anything.
You feel constant pain from exposed tooth roots, you can't enjoy food, you refuse to eat your favorite food because it only makes your gums condition worse... Literally some of the worst feelings in the world.
There is no such thing as "normal"
If your gums are receding and exposing sensitive tooth roots, your teeth appear longer than before, even normal activities can become tiring or even unbearable due to the constant discomfort from gum recession.
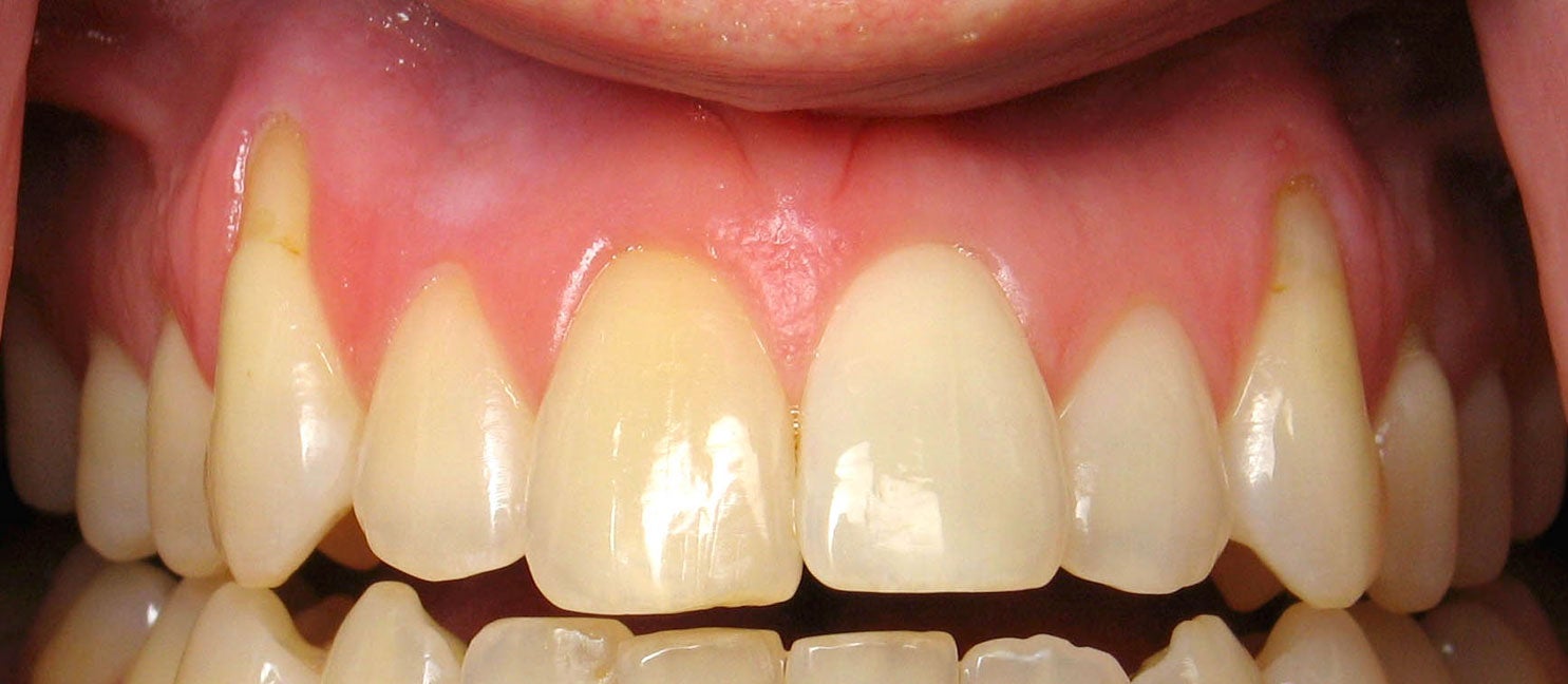
Have you ever noticed your gums pulling back from your teeth? Experienced a gnawing pain when drinking hot coffee or cold beverages because your tooth roots are exposed? Have you noticed that your teeth look longer than they used to because your gums are shrinking away?
What about your tooth roots? Can't eat or drink anything that's too cold because your exposed roots are immediately pierced by a cutting pain? Are you embarrassed by your smile because receding gums have changed the appearance of your teeth?
If you've answered "yes" to any of these questions, you have receding gums, also known as gingival recession, a common oral problem characterized by gradual loss of gum tissue that exposes tooth roots.
Receding gums occur when the gum tissue pulls back or wears away from the teeth, exposing the sensitive tooth roots. This condition is more than just a cosmetic issue, it leaves teeth vulnerable to decay, infection, and even tooth loss if untreated. As the gums recede, "pockets" or gaps form at the gum line where bacteria accumulate, making the recession worsen over time.

How does Teeth Repair Gel help save your receding gums?
This is how Teeth Repair Gel works:
Teeth Repair Gel covers the receded gums and exposed roots with a thin, protective layer whose active particles penetrate directly into the deep layers of the receded gums, nourishing the cells and providing the "building blocks" necessary for the growth and repair of healthy gum tissue where recession has occurred.
The active components in the gel replace the damaged cells in the gum tissue with similar 'building blocks', triggering the regeneration of new, healthy tissue to cover the exposed roots that are causing sensitivity and pain.
This allows you to quickly and effectively stop gum recession at any stage, restore the health of receded gums, strengthen the attachment of the teeth to the gums, reduce sensitivity from exposed roots, and prevent further gum recession that leads to tooth loss.

But the real power of Teeth Repair Gel lies in its regular use.
Unlike medicines that your body can start to become dependent on, Teeth Repair Gel is 100% natural and over time helps you rebuild receded gum tissue, protect exposed tooth roots caused by recession, and restore your gum line to a healthier position!
What makes Teeth Repair Gel so special for treating receding gums?
Teeth Repair Gel is a natural alternative that replaces expensive dental treatments for receding gums (like gum grafts and pocket reduction surgery), as well as prescription products, as it helps to quickly and painlessly restore and strengthen your receded gums, covering exposed tooth roots and eliminating sensitivity!

Teeth Repair Gel has won numerous international awards and is highly regarded by dental professionals as a beneficial treatment that helps stop and reverse receding gums, strengthen gum attachment and protect exposed tooth roots, with visible improvement in your gums as soon as one week after use!
Our 5-star formula contains powerful ingredients specifically designed to target receding gums, penetrating directly into the deep layers of gum tissue, nourishing cells and providing the building blocks needed for regeneration of the gums.
After the first week of using Teeth Repair Gel on your receding gums, you'll understand why our customers with gum recession describe it as "life-changing".
✅ Feel it working on receding gums instantly - Already in 5-10 minutes you will feel significant relief from sensitivity caused by exposed tooth roots, and in a few days - you will notice your receded gum tissue beginning to recover and reattach to your teeth. With regular use, you will see your gum line gradually return to a healthier position, protecting your teeth from the dangers of receding gums.
✅ 100% drug-free, safe and effective for receding gums - Now you can regenerate receded gum tissue without expensive gum graft surgery, painful recovery periods, and costly dental bills. The science behind treating receding gums is backed by 100 studies - ensuring Teeth Repair Gel is highly effective specifically for gum recession.
✅ Recommended for all causes of receding gums - Tested, recommended and used by hundreds of dentists specializing in gum recession, whether caused by aggressive brushing, periodontal disease, genetics, hormonal changes, teeth grinding, or misaligned teeth. Teeth Repair Gel works on all types of gum recession.
✅ No prescription needed for treating receding gums - Teeth Repair Gel contains only natural and completely safe ingredients specifically chosen to combat gum recession, and because it's 100% drug-free, you can order it today without a prescription to start regrowing your receded gums immediately.
✅ 90-day satisfaction and money-back guarantee - If for any reason your receding gums don't show improvement with Teeth Repair Gel, you can easily return it, hassle-free!
Conclusion: should you buy Teeth Repair Gel for your receding gums?
Overall Assessment
4.9/5

Stops and reverses receding gums
Relief of sensitivity from exposed roots
Regeneration of receded gum tissue
Prevention of further gum recession
Absolutely 100 percent!
Teeth Repair Gel is highly recommended by dental professionals specifically for restoring receded gums, rebuilding gum tissue, and protecting exposed tooth roots caused by gum recession, regardless of what caused your gums to recede.
Teeth Repair Gel is also used by professional actors, singers and other celebrities who want to prevent and treat receding gums without expensive surgical procedures.
And now you too can use this incredible technology to regenerate your receded gum tissue and restore your gum line at home!
How do I get Teeth Repair Gel?
You don't have to live with receding gums, exposed tooth roots, and spend thousands on dental visits for gum grafts. Are you ready to reverse your gum recession and finally restore your gum line to a healthy position?
Now that you know about this ingenious solution specifically designed for treating receding gums, here are the simple steps to get yours:
Step 1: We recommend that you order an original Teeth Repair Gel from the official website by clicking here.
Step 2: Apply it daily to your receded gums and forget what gum recession, exposed roots, and tooth sensitivity feel like!
Recommended:

4,9 | 9 897 Reviews
Teeth Repair Gel

Stops and reverses receding gums

Relief of sensitivity from exposed roots

Regeneration of receded gum tissue

Prevention of further gum recession

Comments

Wilma Dewon
Hi, Alicia. Super!!! Thanks for this article, it reminds me of my story... And this gel helped me too. It really saved me and my gums.

Doris Jones
I bought mine at full price and now it's 50% off? That's so unfair!

Skyler Williams
How long does the shipment take?

Marie Taylor
Skyler, I got mine after a week.
Anna Brown
I picked up the package at the post office yesterday. Everything is in order. I will start using it. Waiting for the results :)

Emma Davies
I have been using this gel for about 4 weeks and I am just thrilled with the result, the photo is the best proof of the change.



Alferd Evans
Have you bought one, how long does it take to get it

Edith Wilson
For me 5 business days.

Debra Johnson
Thanks for the tip. I was just about to order it. Constant coffee drinking, smoking and many other factors, even as inevitable as age, have a very negative impact on the strength of the gums ... I have been struggling with receding gums for a long time, I am sure that this time I will be able to defeat my problem!

Paula Remington
My dentist recommended this gel to me :)

Agnes Roberts
I ordered, now I'm looking forward to my package :)

Barbara Walker
This is really old news, the gel has been popular for a long time. My brother very successfully and quickly overcame receding gums with its help a year ago.

Harry Wright
People in the United States use this gel for 5 years! I have heard about it from many colleagues.

Bridget Prescott
Hello. I have been using this gel for 10 days now ... I am just speechless! Thank you very much!

Anna Thompson
It's only been 5 days and I already have the results! I am very satisfied!

Clara Robinson
I bought it and I liked it! For such money it is just a gift!

Amanda Hall
After 2 weeks of use, I have already seen visible results. Thank you very much :)



Dana Edwards
Thanks for the nice review and sincere story. I have heard from people I know about gum injections, but it is so painful and expensive that I am terrified... So I think it is worth ordering this gel right now to solve my problem and not suffer.

Katharine Harris
Congratulations to me too, I got rid of bleeding gums and bad breath in just 2 weeks! I'm shocked :)



Amanda Martin
I am grateful for this method!!! It saved my gums. I tried many methods, and only this gel saved me. Already after a week of use, I saw visible and excellent results. I recommend it to everyone!

Daniel Clarke
Hello everyone! My wife bought this gel and I am just thrilled with the result, my smile has never been so healthy and radiant. We now use this gel every day to maintain healthy gums and oral health in general.



Samantha Jackson
It was exactly what I needed! Now everyone at work is going to be green with envy hehehe

The statements made on this website have not been evaluated by the FDA (U.S. Food & Drug Administration). The products sold on this website are not intended to diagnose, treat, cure, or prevent any disease. The information provided by this website or this company is not a substitute for a face-to-face consultation with your physician, and should not be construed as individual medical advice...
© Mullend All rights reserved.