Everything in your bathroom is designed for your teeth. Nothing is designed for your gums. That’s why they’re getting worse.
Presented by Alicia Smith, dentist


SUMMARY: 50% of UK adults have gum disease. 96% can’t get an NHS dentist. Gum surgery fails in nearly half of cases. And the Cleveland Clinic confirmed: receding gums cannot grow back.
But here’s what nobody tells you: not one product in your bathroom was ever designed for your gums. Your toothpaste, your mouthwash, your floss — all designed for your teeth. Your gums have been getting zero daily care. For decades.
This gel was built to change that. It sits on your gum tissue, stays there, and gives them what they’ve never had. 9,897 five-star reviews. 90-day guarantee. 50% discount while in stock.
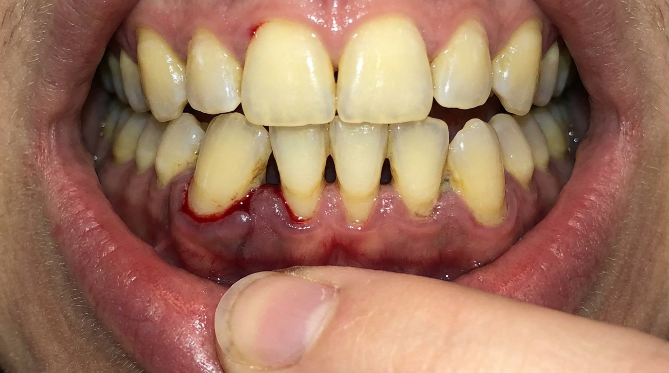
The 10-Second Mirror Test
Try this right now.
Go to your bathroom mirror. Pull your lower lip down gently. Look at where your gums meet your teeth.
Can you see more tooth than you remember?
Is the gum line uneven? Darker in some places? Puffy? Does one tooth look “longer” than it used to?
If so, what you’re looking at is gum tissue that has already pulled away from your teeth. Tissue that is already gone.
And here’s what the Cleveland Clinic confirmed in 2022, in language that should stop you cold:
“Receding gums cannot grow back.”
Not with brushing. Not with flossing. Not with any toothpaste, any mouthwash, any rinse on any shelf in any shop in this country.
Once that tissue is gone, it is gone forever.
If that sentence didn’t unsettle you, the next few paragraphs will. Because gum recession isn’t just a cosmetic issue. It’s the first visible stage of a process that ends in one place.
Tooth loss.

This is not just bleeding gums. This is a countdown.
Most people think tooth loss happens suddenly. It doesn’t.
It follows a specific, well-documented sequence. Usually with no pain at all until the very end.
Stage 1: The Invisible Film. Bacterial plaque forms along your gum line every single day. If it isn’t completely removed (and it almost never is), it hardens into calculus: a cement-like deposit that no toothbrush can shift.
Stage 2: The Inflammation. Your immune system detects the bacteria and launches a chronic inflammatory response. This is when you start seeing blood on your toothbrush. Most people think it’s because they’re brushing too hard. It isn’t. It’s because the tissue is already under attack.
Stage 3: The Destruction. Pro-inflammatory cytokines begin destroying the connective tissue and the ligament holding your teeth in place. This is invisible. You can’t feel it. Your teeth still look normal.
Stage 4: The Bone Loss. The jawbone itself begins to dissolve. The foundation your teeth sit in is literally disappearing. Your gums pull away further. Your teeth start to shift. They look “longer.”
Stage 5: The Fall. Your teeth become mobile. They wobble when you press them with your tongue. And then one morning, eating toast, biting into an apple, sometimes doing nothing at all, a tooth comes out.
Stage 6: The Aftermath.
Once a tooth is lost, the jawbone beneath it deteriorates. Your face shape changes. Your cheeks hollow. Your remaining teeth shift to fill the gap, loosening them in the process.
An implant costs £2,000–4,000 per tooth. If the bone has deteriorated too far, you’ll need a bone graft first. Another £500–1,500.
If you can’t afford implants, you’re looking at dentures. Dentures that slip when you eat. Dentures that click when you talk. Dentures that sit in a glass on your bedside table.
If you’ve watched a parent or grandparent go through this, you know exactly what I’m describing. The way they stopped eating certain foods. The way they stopped laughing openly. The way they stopped being themselves.
That is where untreated gum disease leads. Not might lead. Leads.
Read those five stages again. Where are you?
If you see blood when you brush, you’re at least at Stage 2.
If your gums have receded, you’re at Stage 3 or 4.
If a tooth feels different, looser, shifted, you may already be approaching Stage 5.
This process does not pause. It does not reverse. It does not wait.
So the obvious question is: why hasn’t your dentist helped?

Why your dentist can’t save you
You’ve tried to get help. You know how this goes.
You called your NHS dental practice. Not accepting new patients.
You called three more. Same answer.
You searched the NHS website. Every practice within 30 miles: unavailable.
You are not unusual. You are the majority.
96% of NHS dental practices were not accepting new adult patients as of 2024. (Healthwatch England.)
60% of UK adults had no dental care in the last two years. (NHS Digital.)
13 million adults have unmet dental needs. (British Dental Association.)
Health Secretary Wes Streeting told Parliament that “NHS dentistry is at death’s door.”
The Nuffield Trust warned NHS dentistry would be “gone for good” without bold action.
Healthwatch Liverpool documented patients pulling their own teeth after years of being unable to find a dentist.
And if you do get through? If you pay £150–250 for a private consultation? The recommendation is usually gum grafting surgery.
Price: £500–2,400+ per tooth. No NHS coverage. No insurance. No guarantee.
A Cochrane systematic review of 48 randomised controlled trials, the highest level of evidence in medicine, found that no surgical technique consistently achieves complete root coverage.
A 20-year follow-up found success dropped from 57.1% to just 47.6%. The surgery didn’t hold.
Nearly half of all gum surgeries fail to achieve the desired result. At £500–2,400+ per tooth.
So the system can’t see you. And when it finally does, the solution costs thousands and works half the time.
You’ve been brushing. Flossing. Using mouthwash. Doing everything you were told to do. And your gums keep getting worse.
There’s a reason for that. And when you see it, everything changes.
Why everything you’ve tried has failed
Go to your bathroom shelf right now. Pick up your toothpaste. Turn it over. Read the back.
Cleans teeth. Fights cavities. Strengthens enamel.
Teeth. Teeth. Teeth.
Now pick up your mouthwash. Swish for 30 seconds, spit. It touches everything equally. Stays on nothing. Thirty seconds of contact and it’s gone.
Your floss? Cleans between your teeth.
That specialist toothpaste you paid £8.49 for? Read the small print: Helps prevent gum problems when used as a regular toothpaste. In other words: brush your teeth with it and hope for the best.
Now answer one question. Take your time with it.
Which of these products was designed to sit on your gums and stay there?
None.
Not one.
Every product you’ve ever bought was formulated, tested, and marketed for your teeth. Applied to teeth. Rinsed off teeth. Spat out with teeth.
Your gums — the soft tissue foundation holding everything in place, the tissue the Cleveland Clinic says cannot grow back — have been getting zero targeted daily care. Every single day. For your entire adult life.
You wouldn’t spend thirty years polishing the walls while the foundation crumbles underneath.
But that is exactly what you’ve been doing with your mouth.
And now it makes sense. Why the bleeding hasn’t stopped. Why the recession keeps getting worse. Why product after product after product has failed you.
They weren’t designed for the problem.
Until now.
How does Mullend Teeth Repair Gel change this?

It’s not a toothpaste. Not a mouthwash. Not another rinse that touches everything and stays on nothing.
It’s a gel. Designed for one thing: your gums.
You apply it with a precision applicator tip directly along your gum line. Exactly where the recession is happening. Exactly where the inflammation is. Exactly where every other product has failed to reach.
The gel creates a thin, soothing layer that stays in contact with your gum tissue. No rinsing. No spitting. No 30-second countdown. It sits on your gums. It stays on your gums.
Think about that. After a lifetime of products that touch your gums for seconds before being washed away, this is the first thing that actually stays.
What’s in it:
Peppermint leaf extract — the active botanical. Lab research published in the Journal of Contemporary Dental Practice (Raghavan et al., 2018) demonstrated antimicrobial activity against two of the key bacteria implicated in gum disease: S. mutans and A. actinomycetemcomitans. When your gums need protection from the bacteria that attack them, this is what the science points to.
Glycerin + purified water base — keeps gum tissue moisturised and protected. Dry gums are vulnerable gums. Saliva drops with age, with menopause, with dozens of common medications. This formula counteracts that.
Precision applicator tip — this is the real innovation. A medical-style pen that delivers the formula exactly to the gum line, the gum pockets, the receded areas. No mess. No waste. No guesswork. The gel stays where you put it.
Is this as powerful as a prescription-strength antimicrobial gel? No. Those require a dentist you can’t see and a prescription you can’t get.
What this is: the only product on your shelf designed to sit on your gums and stay there. The only thing giving your gums targeted daily care. The step your routine has been missing for decades.
100% natural. Made in Austria. No prescription. Two minutes, morning and evening, after brushing.
That’s the step your bathroom has been missing.
What makes Mullend so special?
✅ Designed for gums, not teeth. Every Corsodyl, every Sensodyne, every mouthwash you’ve bought cleans tooth surfaces or rinses away in seconds. This gel sits on your gum tissue and stays there. That’s the difference between polishing the walls and fixing the foundation.
✅ It stays where it matters. Mouthwash: 30 seconds of contact, then gone. Toothpaste: 2 minutes on your teeth, rinsed down the drain. This gel stays on your gums until fully absorbed. For the first time, your gums get sustained, targeted care.
✅ You feel it working immediately. The cooling peppermint soothes within minutes. Your gums feel calmer. Your breath feels fresher. That immediate sensation is the sign that something is finally reaching the tissue that’s been ignored.
✅ No prescription. No appointment. No waiting list. You can start caring for your gums tonight. Not in six months when an NHS practice might open. Not after paying £250 for a private consultation. Tonight.
✅ Costs less than what you’ve already wasted. Add up the specialist toothpastes, the premium mouthwashes, the supplements, the Amazon remedies. Hundreds of pounds. None of them designed for your gums. One targeted gel replaces the guesswork.
✅ 90-day money-back guarantee. If it doesn’t work for you, full refund. No questions. The company can make this offer because 97% of customers keep their gel.
Should you try Mullend Teeth Repair Gel?
Overall Assessment
4.9/5

Stops bleeding gums
Relief of pain, inflammation
Strengthening of gums, teeth
Teeth whitening
Absolutely 100 percent!
Mullend Teeth Repair Gel is highly recommended for restoring, strengthening and protecting gums and teeth, as well as for treating all types of gum, tooth and oral diseases in general.
Teeth Repair Gel is also used by professional actors, singers and other celebrities to maintain a perfectly radiant smile and fresh breath.
And now you too can use this incredible technology to regain healthy gums and strong teeth at home!
How do I get mine?
You have two choices right now.
You can close this page and go back to the same routine. The same toothpaste that’s designed for your teeth. The same mouthwash that rinses away in 30 seconds. The same gums that will keep getting worse every single month.
Or you can spend two minutes tonight doing something no product in your bathroom has ever done: caring directly for your gums.
Step 1: Order from the official Mullend website by clicking here.
Step 2: Apply daily along your gum line. Morning and evening. Two minutes.
That’s it. Two minutes. The step your routine has been missing.
STOCK ALERT: Due to the dental access crisis driving unprecedented demand, Mullend has been selling out frequently. The 50% discount is currently running but the manufacturer cannot guarantee how long stock will last at this price.
Recommended:

4,9 | 9 897 Reviews
Mullend Teeth Repair Gel

Designed specifically for gum tissue

Stays on gums. Doesn’t rinse away

Soothes, moisturises, and freshens

100% natural. No prescription

Comments

Wilma Dewon
Hi, Alicia. Super!!! Thanks for this article, it reminds me of my story... And this gel helped me too. It really saved me and my gums.

Doris Jones
I bought mine at full price and now it's 30% off? That's so unfair!

Skyler Williams
How long does the shipment take?

Marie Taylor
Skyler, I got mine after a week.

Anna Brown
I picked up the package at the post office yesterday. Everything is in order. I will start using it. Waiting for the results :)

Emma Davies
I have been using this gel for about 4 weeks and I am just thrilled with the result, the photo is the best proof of the change.



Alferd Evans
Have you bought one, how long does it take to get it

Edith Wilson
For me 5 business days.

Debra Johnson
Thanks for the tip. I was just about to order it. Constant coffee drinking, smoking and many other factors, even as inevitable as age, have a very negative impact on the strength of the gums ... I have been struggling with bleeding gums for a long time, I am sure that this time I will be able to defeat my problem!

Paula Remington
My dentist recommended this gel to me :)

Agnes Roberts
I ordered, now I'm looking forward to my package :)

Barbara Walker
This is really old news, the gel has been popular for a long time. My brother very successfully and quickly overcame periodontal disease with its help a year ago.

Harry Wright
People in the United Kingdom use this gel for 5 years! I have heard about it from many colleagues.

Bridget Prescott
Hello. I have been using this gel for 10 days now ... I am just speechless! Thank you very much!

Anna Thompson
It's only been 5 days and I already have the results! I am very satisfied!

Clara Robinson
I bought it and I liked it! For such money it is just a gift!

Amanda Hall
After 2 weeks of use, I have already seen visible results. Thank you very much :)



Dana Edwards
Thanks for the nice review and sincere story. I have heard from people I know about gum injections, but it is so painful and expensive that I am terrified... So I think it is worth ordering this gel right now to solve my problem and not suffer.

Katharine Harris
Congratulations to me too, I got rid of bleeding gums and bad breath in just 2 weeks! I'm shocked :)



Amanda Martin
I am grateful for this method!!! It saved my gums. I tried many methods, and only this gel saved me. Already after a week of use, I saw visible and excellent results. I recommend it to everyone!

Daniel Clarke
Hello everyone! My wife bought this gel and I am just thrilled with the result, my smile has never been so healthy and radiant. We now use this gel every day to maintain healthy gums and oral health in general.



Samantha Jackson
It was exactly what I needed! Now everyone at work is going to be green with envy hehehe

The statements made on this website have not been evaluated by the FDA (United Kingdom Food & Drug Administration). The products sold on this website are not intended to diagnose, treat, cure, or prevent any disease. The information provided by this website or this company is not a substitute for a face-to-face consultation with your physician, and should not be construed as individual medical advice.
© Mullend. All rights reserved.